干细胞作为生长和再生的关键资源,对于组织的维持和修复至关重要。在胚胎早期发育阶段,除母体来源的保护外,几乎没有免疫系统的防护,因此胚胎常常面临病毒感染的风险。此外,胚胎干细胞(embryonic stem cells, ESCs)没有干扰素反应,它是如何进行自我保护的呢?那么,胚胎干细胞必须进化出自身的防护机制,以抵御病毒感染带来的损伤。因此,研究ESCs如何自我保护免受病毒感染具有重要意义。

2025年7月7日,来自beat365唯一官方网站基础医学院病原生物学系与感染病研究中心的向宽辉课题组在Nature Communications发表题为Vesicle-associated membrane protein 5 is an intrinsic defense factor for embryonic stem cells against coronaviruses的文章,报道了胚胎干细胞内源性高表达囊泡相关膜蛋白5(Vesicle-associated membrane protein 5, VAMP5)广谱抑制病毒感染。该研究发现,VAMP5不仅在抑制SARS-CoV-2及其变异株、以及其他高致病性冠状病毒的复制方面表现出功能上的保守性,还可抑制其他病毒家族的复制能力。机制研究表明,VAMP5可定位于双膜囊泡(double membrane vesicles, DMVs),并通过其位于囊泡侧的C端结构域与病毒的非结构蛋白8(non-structural protein 8, NSP8)相互作用,从而抑制负链RNA的合成,阻断病毒复制。本研究表明,胚胎干细胞中的VAMP5通过干扰病毒基因组复制所依赖的DMVs保护环境,并与RNA复制复合物相互作用,以抵御病毒感染。这为开发广谱抗病毒治疗策略提供了新的思路。
首先,值得注意的是,VAMP5在ESCs及中胚层细胞中高表达,而在内胚层(END)和外胚层(ECT)中表达较低,并且这一表达模式与病毒感染或干扰素(IFN)处理无关。敲除VAMP5会使ESCs对SARS-CoV-2及多种病毒感染变得易感,而在敲除细胞中过表达VAMP5则可恢复其抗病毒能力。此外,VAMP5不仅能抑制冠状病毒(包括人类相关的SARS-CoV-2、MERS-CoV、CoV-OC43、CoV-NL63,以及哺乳动物相关的PEDV和MHV-A59)的感染,也能抑制其他相关或无关病毒(如ZIKV、VSV、DENV2、AAV2、IAV和LV)的感染。这些发现表明,VAMP5是决定干细胞抵抗病毒的重要细胞因子。

图1.胚胎干细胞内源高表达VAMP5抑制SARS-CoV-2感染。
病毒为了在环境中生存不断进化,导致单核苷酸多态性变异(SNPs)以及多个进化分支的产生。在疫情期间,SARS-CoV-2的Omicron变异株不断演化,产生了多个新的亚型。这些亚型对中和抗体药物和康复者血浆表现出强大的免疫逃逸能力,给现有通过疫苗接种或既往感染建立的体液免疫带来了挑战。这些问题促使人们重新思考开发中和抗体药物的必要性,并探索其他替代治疗手段,例如开发广谱抗病毒治疗策略,以绕过病毒的免疫逃逸突变。本文的研究发现,VAMP5的抗病毒抑制作用似乎不受已知病毒突变的影响,能够显著抑制包括Alpha、Beta、Gamma、Delta和Omicron在内的所有主要变异株。与直接靶向病毒或使用中和抗体相比,依赖宿主限制因子的治疗策略在抗病毒耐药逃逸方面展现出更高的屏障,这一发现为我们提供了新的抗病毒治疗思路。

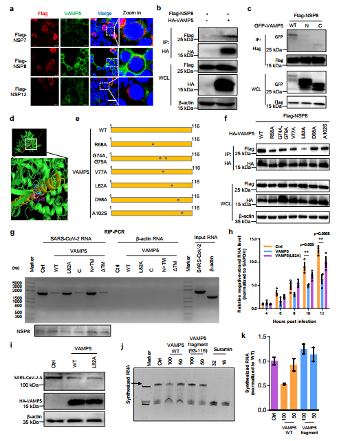
图2. VAMP5通过插入DMV与SARS-CoV-2的NSP8结合破坏病毒复制复合物而抑制病毒复制
SARS-CoV-2感染细胞时可形成DMV结构,从而逃避免疫系统中识别病毒RNA的先天免疫感应器的监测。然而,本文的研究发现,VAMP5也存在于DMVs膜上,并能抑制病毒复制。这一发现提示,宿主细胞不仅可以通过先天免疫感应器抵御病毒,还可以通过作用于DMVs内的病毒复制中间体来限制病毒复制。尽管目前的研究认为,宿主先天免疫系统可能无法直接监视DMVs内的病毒复制,但诸如VAMP5这样的宿主因子仍可进入DMVs的保护膜结构,抑制病毒复制而不引发先天免疫反应。这揭示了干细胞如何在不依赖干扰素免疫反应的前提下,通过特有的机制保护自身免受病原体侵害。
总之,本文发现VAMP5在ESCs中高水平内源性表达,可保护ESCs免受SARS-CoV-2及多种相关或无关病毒的感染。该发现解释了胚胎干细胞独特的自我保护模式,也使VAMP5成为一个有潜力的靶点,用于设计广谱抗病毒治疗策略,以抑制多种病毒感染。

beat365唯一官方网站基础医学院的董慧君博士后和潘子航博士,以及中国农业科学院的焦鹏涛博士为文章的共同第一作者。beat365唯一官方网站基础医学院向宽辉助理教授为本文通讯作者。本研究得到中国CDC谭文杰/叶飞团队、微生物所施一/彭齐团队、清华大学丁强/于晏璎团队和beat365唯一官方网站基础医学院罗建沅教授的大力支持和帮助。上述研究得到国家自然科学基金委“面上”项目,北京科协高创计划、beat365唯一官方网站学科建设等项目的资助。
论文链接:https://www.nature.com/articles/s41467-025-61655-8